クリーニング・歯科検診

むし歯や歯周病など重症化すると歯を失うこともあります。
病気で歯を失わないためにも歯科検診の重要性は高いと言えます。
また、口の中の病気が全身疾患と強く関連しているのはご存知ですか?

全身の健康のためにも
歯の健康維持を
重要視しています
サポーティブペリオドンタルセラピー
歯周病安定期治療SPT
当院では厚生労働省が認可している歯周病安定期治療 SPT(サポーティブペリオドンタルセラピー)を推奨しています。
歯周組織を長期にわたり病状安定させるための治療であるお口の病気は早期発見することで、症状の進行を妨ぐこともできます。むし歯や歯周病などで痛い思いをしたり、歯を失ったりするリスクを抑えられるのです。
エアフロ―
歯の着色や口臭、
歯周病にお悩みの方に
オススメです。
歯周病にお悩みの方に
オススメです。
微細なパウダーを空気と水の圧力で噴射させ優しくケアします。
とても気持ちよく歯の表面もつるつるになり、人気の施術です。

1つでも心当たりがあれば
当院の治療がオススメです
当院の治療方法
・歯科衛生士と連携して歯周病の改善をサポート
・「歯のエナメル質を強化する」「虫歯菌の活動を抑制する」が期待できるフッ素の使用
クリーニング・歯科検診の症例紹介
01


クリーニング・
歯科検診の詳細
- 主訴
- ホワイトニングをしたい
- 治療期間
- 1日
- 治療内容
- 染め出し、歯石除去、ポリッシング(艶出し)
- 治療のリスク
- 術後しみる可能性があります
- 治療費
- 保険診療に準ずる


クリーニング・
歯科検診の詳細
- 主訴
- ホワイトニングをしたい
- 治療期間
- 1日
- 治療内容
- 染め出し、歯石除去、ポリッシング(艶出し)
- 治療のリスク
- 術後しみる可能性があります
- 治療費
- 保険診療に準ずる
02


クリーニング・
歯科検診の詳細
- 主訴
- 口臭が気になる
- 治療期間
- 1日
- 治療内容
- 染め出し、歯石除去、ポリッシング(艶出し)
- 治療のリスク
- 術後しみる可能性があります
- 治療費
- 保険診療に準ずる
院長のコメント
全体的に歯石や汚れ(プラーク)が付着し歯肉に炎症が見受けられました。歯周病や口臭の原因である汚れを除去し磨き上げました。歯並びの影響もあり、どうしてもご自身で磨きにくい場所もありますがその際は専門である私たちに是非ご相談下さい。



クリーニング・
歯科検診の詳細
- 主訴
- 口臭が気になる
- 治療期間
- 1日
- 治療内容
- 染め出し、歯石除去、ポリッシング(艶出し)
- 治療のリスク
- 術後しみる可能性があります
- 治療費
- 保険診療に準ずる
院長のコメント
全体的に歯石や汚れ(プラーク)が付着し歯肉に炎症が見受けられました。歯周病や口臭の原因である汚れを除去し磨き上げました。歯並びの影響もあり、どうしてもご自身で磨きにくい場所もありますがその際は専門である私たちに是非ご相談下さい。

院長のコメント
全体的に歯石や汚れ(プラーク)が付着し歯肉に炎症が見受けられました。歯周病や口臭の原因である汚れを除去し磨き上げました。歯並びの影響もあり、どうしてもご自身で磨きにくい場所もありますがその際は専門である私たちに是非ご相談下さい。

全体的に歯石や汚れ(プラーク)が付着し歯肉に炎症が見受けられました。歯周病や口臭の原因である汚れを除去し磨き上げました。歯並びの影響もあり、どうしてもご自身で磨きにくい場所もありますがその際は専門である私たちに是非ご相談下さい。

03


クリーニング・
歯科検診の詳細
- 主訴
- 歯の着色が気になる
- 治療期間
- 1日
- 治療内容
- 染め出し、歯石除去、ポリッシング(艶出し)
- 治療のリスク
- 術後しみる可能性があります
- 治療費
- 保険診療に準ずる
院長のコメント
お茶やコーヒーをよく飲まれる方でした。毎日気を付けて歯磨きしても着色してしまったと気にされていました。着色等は歯ブラシでは落ちにくいので私たちにお任せください。処置後さっぱりしたと満足されていましたね。



クリーニング・
歯科検診の詳細
- 主訴
- 歯の着色が気になる
- 治療期間
- 1日
- 治療内容
- 染め出し、歯石除去、ポリッシング(艶出し)
- 治療のリスク
- 術後しみる可能性があります
- 治療費
- 保険診療に準ずる
院長のコメント
お茶やコーヒーをよく飲まれる方でした。毎日気を付けて歯磨きしても着色してしまったと気にされていました。着色等は歯ブラシでは落ちにくいので私たちにお任せください。処置後さっぱりしたと満足されていましたね。

院長のコメント
お茶やコーヒーをよく飲まれる方でした。毎日気を付けて歯磨きしても着色してしまったと気にされていました。着色等は歯ブラシでは落ちにくいので私たちにお任せください。処置後さっぱりしたと満足されていましたね。

お茶やコーヒーをよく飲まれる方でした。毎日気を付けて歯磨きしても着色してしまったと気にされていました。着色等は歯ブラシでは落ちにくいので私たちにお任せください。処置後さっぱりしたと満足されていましたね。

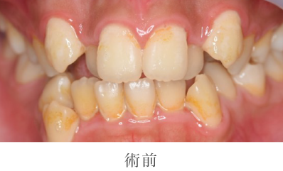
院長のコメント

ホワイトニング希望の方でしたが保険のクリーニングで白く出来るとご説明し処置致しました。歯医者がお久しぶりで歯石や汚れ(プラーク)を一気に除去し歯を磨き上げました。処置後に鏡で確認した際にびっくりされていましたね。